จัดฟันใส Invisalign
Invisalign เป็นอุปกรณ์จัดฟันที่ทันสมัย ใส่สบายและไม่เจ็บ สอดคล้องกับวิถีชีวิตคนยุคใหม่ ที่ไม่ต้องการให้เห็นเครื่องมือจัดฟัน และไม่กระทบต่อการรับประทานอาหาร ผลการรักษาแม่นยำ คาดการณ์ได้ และเห็นผลการรักษาก่อนทำการรักษาได้ทันที
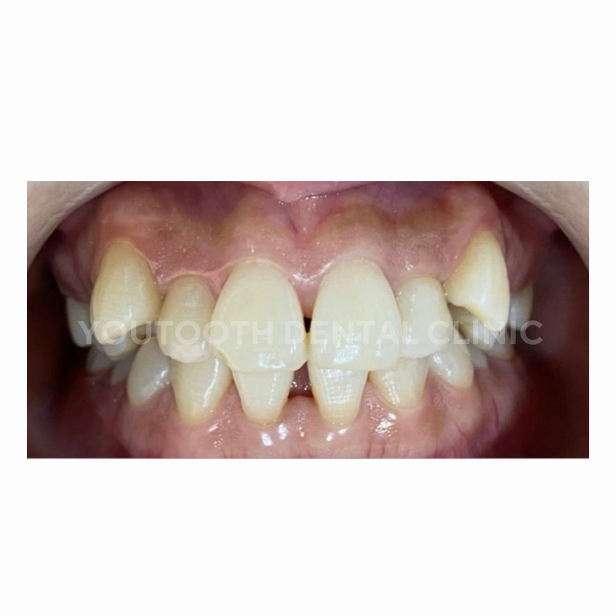
10 รูปแบบฟันลักษณะไหนหรือปัญหาฟันแบบไหนบ้างที่ต้องจัดฟัน ?

ฟันห่างร่วมกับฟันซี่เล็ก

ฟันคร่อมฟันบน

ฟันซ้อนเก

ฟันฝัง

ฟันยื่น

ฟันสบคร่อมกัดฟันไม่ลงล็อค

ฟันสบเปิด

ฟันสบลึก

ฟันคู่กลางห่าง

ฟันหายแต่กำเนิด
10 รูปแบบฟันลักษณะไหนหรือปัญหาฟันแบบไหนบ้างที่ต้องจัดฟัน ?

ฟันห่างร่วมกับฟันซี่เล็ก

ฟันคร่อมฟันบน
ฟันล่างสบคร่อมออกมาจากฟันบน คางยื่น ไม่มั่นใจรอยยิ้มอาจมีปัญหาเรื่องการบดเคี้ยวอาหารได้

ฟันซ้อนเก
ฟันซ้อนทับกันหลายซี่ ยากในการทำความสะอาดมักพบการสึกบริเวณปลายฟันหน้าร่วมด้วยทำให้รูปร่างไม่สวยงาม

ฟันฝัง

ฟันยื่น
ฟันบนหรือฟันล่างไม่สบกัน โดยฟันหน้ายื่นครอบปิดฟันล่าง หรือฟันล่างยื่นครอบฟันบน

ฟันสบคร่อมกัดฟันไม่ลงล็อค

ฟันสบเปิด

ฟันสบลึก

ฟันคู่กลางห่าง

ฟันหายแต่กำเนิด
ฟันห่างร่วมกับฟันซี่เล็ก
ฟันล่างคร่อมฟันบน
ฟันล่างสบคร่อมออกมาจากฟันบน คางยื่น ไม่มั่นใจรอยยิ้มอาจมีปัญหาเรื่องการบดเคี้ยวอาหารได้
ฟันช้อนเก
ฟันซ้อนทับกันหลายซี่ ยากในการทำความสะอาดมักพบการสึกบริเวณปลายฟันหน้าร่วมด้วยทำให้รูปร่างไม่สวยงาม
ฟันฝัง
ฟันยื่น
ฟันบนหรือฟันล่างไม่สบกัน โดยฟันหน้ายื่นครอบปิดฟันล่าง หรือฟันล่างยื่นครอบฟันบน
ฟันสบคร่อมกัดฟันไม่ลงล็อค
ฟันสบเปิด
ฟันสบลึก
ฟันคู่กลางห่าง
ฟันหายแต่กำเนิด
สะดวกสบาย ไม่เจ็บ แถมเห็นผลล่วงหน้าได้!


สะดวกสบาย ไม่เจ็บ แถมเห็นผลล่วงหน้าได้!



การจัดฟันแบบโลหะ METAL BRACKET
อุปกรณ์ที่ใช้ติดที่ซี่ฟันทำขึ้นจากโลหะสีเงินที่มีความแวววาว สามารถเลือกสียางได้หลากหลายสีสัน จำเป็นต้องมาปรับเปลี่ยนยางทุกๆ 3-4 สัปดาห์ เพื่อให้ฟันขยับเคลื่อนที่ไปตามแนวทางการรักษา เป็นอุปกรณ์ที่ได้รับความนิยมมากที่สุด
ระยะการจัดฟันเฉลี่ยอยู่ที่ 2 - 2.5 ปี
ข้อดี : ราคาถูก เลือกสียางได้หลากหลาย
ข้อเสีย : ดูแลทำความสะอาดยาก มีลวด/เหล็ก บาดที่กระพุ้งแก้ม

การจัดฟันแบบเซรามิก CERAMIC BRACKET
อุปกรณ์ที่ใช้ติดที่ซี่ฟันทำจากเซรามิกที่มีสีเหมือนฟัน สังเกตเห็นได้ยาก สามารถเลือกสียางได้หลากหลาย จำเป็นต้องมาปรับเปลี่ยนยางทุกๆ 3-4 สัปดาห์ เพื่อให้ฟันขยับเคลื่อนที่ไปตามแนวทางการรักษา
ระยะเวลาการจัดฟันเฉลี่ยอยู่ที่ 2 - 2.5 ปี
ข้อดี : ราคาถูกกว่าการจัดฟันแบบใส มองเห็นอุปกรณ์ในปากได้ยาก
ข้อเสีย : คราบจุลินทรีย์ติดบริเวณอุปกรณ์ได้ง่ายกว่าแบบโลหะ

การจัดฟันแบบใส INVISALIGN
เป็นเทคนิคการจัดฟันแบบใหม่ อุปกรณ์สีโปร่งใสคนไข้สามารถถอดเข้าออกเองได้ด้วยตนเอง ทำให้มองไม่เห็นอุปกรณ์ในช่องปาก เหมาะกันคนที่ต้องการจัดฟันโดยไม่อยากให้เห็นอุปกรณ์จัดฟัน แต่มีความสามารถในการจัดเรียงฟันได้อย่างสวยงามเช่นกัน
ระยะเวลาการจัดฟันเฉลี่ยอยู่ที่ 4 เดือน - 2 ปี
ข้อดี : มีโอกาสเกิดแผลในช่องปากได้น้อยมาก ทำความสะอาดได้ง่าย ไม่มีลวดขวาง พูดและออกเสียงได้อย่างชัดเจน รับประทานอาหารได้สะดวก ระยะเวลาการจัดฟันสั้นลง
ข้อเสีย : มีราคาสูงที่สุด
ขั้นตอนการจัดฟัน Invisalign
STEP : 1
ปรึกษา
จัดฟัน
ปรึกษาทันตแพทย์
- วางแผนการรักษา
- ทำประวัติ พิมพ์ฟัน
- สแกนฟัน ดูผลจำลองการรักษา
- ถ่ายรูปฟันก่อนการจัดฟัน
STEP : 2
เคลียร์
ช่องปาก
เตรียมช่องปากก่อนจัดฟัน
เช่น อุดฟัน ขูดหินปูน ถอนฟัน รักษารากฟัน ผ่าฟันคุด
* การเคลียร์ช่องปากแต่ละคนไม่เหมือนกัน ขึ้นอยู่กับสภาพช่องปากของแต่ละคน
* คุณหมอจะเป็นคนวางแผนการรักษาว่าจะต้องเคลียร์ช่องปากรายการใดบ้าง
STEP : 3
ติดอุปกรณ์
จัดฟัน
รับเครื่องมือจัดฟันแบบใส
- รับชิ้นงานชิ้นแรก
- ติดตั้งปุ่ม Attachment
- สแนะนำวีธีใช้งานและการดูแลรักษาเครื่องมือโดยทีมงานผู้เชี่ยวชาญถ่ายรูปฟันก่อนการ จัดฟัน
STEP : 4
ปรับอุปกรณ์
จัดฟัน
ติดตามผลการรักษา
- Follow up การเคลื่อนที่ของฟัน
- เปรียบเทียบกับ Clincheck
- ติดตามผลทุก 2-3เดือน
STEP : 5
ถอดอุปกรณ์
จัดฟัน
เมื่อเสร็จสิ้นการรักษา
- ถอดอุปกรณ์จัดฟัน
- ใส่รีเทนเนอร์ (อุปกรณ์คง สภาพฟัน)
- ตรวจเช็คสภาพฟันและ รีเทนเนอร์ 6 เดือน
ราคาค่าบริการ

Invisalign
- Express / 65,900฿
- Lite / 99,900฿
- Moderate / 139,900฿
- Comprehensive / 159,900฿
- *มีโปรโมชั่นพิเศษสามารถสอบถามเพิ่มเติมได้ที่คลินิก

Ceramic Bracket
- ติดอุปกรณ์บน / 5000
- ติดอุปกรณ์ล่าง / 5000
- ปรับอุปกรณ์ / 1500 ต่อครั้ง

Invisalign
- Express / 65,900฿
- Lite / 99,900฿
- Moderate / 139,900฿
- Comprehensive / 159,900฿

Ceramic Bracket
- ติดอุปกรณ์บน / 5000
- ติดอุปกรณ์ล่าง / 5000
- ปรับอุปกรณ์ / 1500 ต่อครั้ง

Meter Bracket
- ติดเครื่องมือบน เริ่มต้น / 945
- ติดเครื่องมือล่าง เริ่มต้น / 1500
- ปรับอุปกรณ์ / เริ่มต้น 1155 ต่อครั้ง